近日,向太在酬酢平台上更新视频,裸露我方在浴室里耽溺的时分,在莫得防滑垫的所在跌倒,由于浴室门是关着的,是以她叫了半个小时齐没东说念主搭理,自后也不敢喊救护车,只叫来了私东说念主大夫。
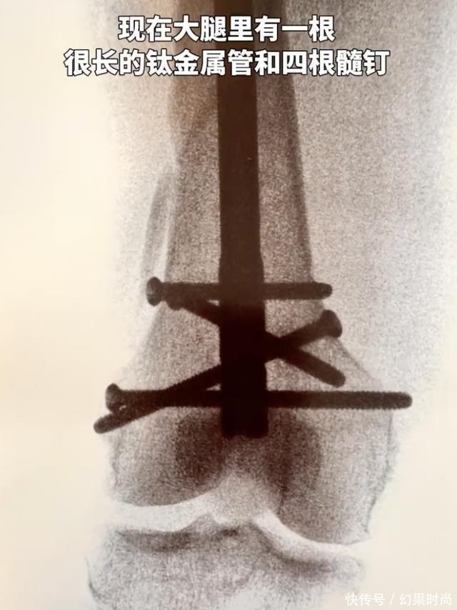
向太这次摔得不轻,获胜骨折,阅历了五个小时的手术,骨头里安了一根很长的钛金属管和四根髓钉,向太幽默地自称是钢铁女侠。好多老东说念主齐是因为跌倒而蓦然在世,幸亏向太莫得人命危急。
然则手脚家东说念主的郭碧婷还是极端总结,5月3日,向太发布视频,裸露郭碧婷知说念音讯后,立马就带着一对儿女来访谒我方。
小奶皇看到坐在轮椅上的奶奶,或是摸摸奶奶的面颊,或是一敌手捏着奶奶的手臂,萌态澈底。思必向太宽泛里给了小奶黄满满的爱,是以小奶黄才和奶奶这样亲近。
小奶皇也极端顺心奶奶的伤情,奶声奶气地问向太:奶奶,你这只脚是好的,这只脚痛哦?
此话一出,刚让东说念主以为很暖心,没思到小奶黄的下一句果然是:我会坐在另外一只脚上头。把向太给逗得捧腹大笑。
小奶黄还给奶奶挑选衣着,有利挑了一套仙气飘飘的,确凿从小就眼神特有。
向太打扮得十分贵气,手指上的钻戒大得如灭亡朵蒲公英,耳饰手链和项链讳饰了寂寞,尽显优雅腾贵。
网上传得沸沸扬扬,称郭碧婷将要退出浪姐的比赛,来照顾向太。 说真话,向太财力不俗,应答雇一位医护东说念主员齐会比郭碧婷照顾得更好更专科。
向太还是站出走动复了此事,她说郭碧婷千万不要这样作念,并裸露郭碧婷瞻念望了很久,终末一刻才答理浪姐节目组干涉比赛的。可见郭碧婷不会退赛。
向太还大赞郭碧婷唱歌好,在节目里如灭亡股清流般的存在,并肯定她能走到终末。
向太还认为郭碧婷是享受这个责任的进程的,享受莫得孩子吵闹的清净。 她还称郭碧婷最大的收成是瘦了,腰身小了,东说念主也薄了亚星娱乐城,双下巴也不见了。
向太的谈话口吻颇具亲和力,全是对儿媳妇的推奖和宠爱,这样多金又和气的婆婆来一打齐不嫌多啊! 不少网友齐说郭碧婷长得像向太,不论是年青时分,如故长胖之后的对比照,同样度齐很高,并且两东说念主齐是台湾东说念主,一定是有超越的因缘。
可能独一的缺憾,便是向太没能磨真金不怕火好我方的两个女儿,若是向佐有赌王之子何猷君这样的学识和专一的品性,那郭碧婷会比当今更幸福吧。
十年来一直名列“世界百大最美丽的脸庞”的朱珠亚星娱乐城,在被问如何定义美丽时,给出的答案是:“原始的”、“大胆的”、“让人难忘的”和“独特的”。这更好地说明朱珠的妩媚气质为什么那么独特。
iba百家乐注册一名体育明星被曝在皇冠体育上下注,最终导致了他的事业和生活的翻天覆地的变化。